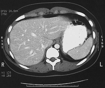
[T11] This is a normal abdominal CT scan with contrast demonstrating the upper abdomen with the stomach and spleen and diaphragm and liver and vertebral body and spinal canal and aorta .

Next CT Image

Radiology Menu