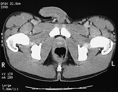
[Pubic Symphysis] This is a normal pelvic CT scan in a male demonstrating the penis and penile urethra and right spermatic cord and left spermatic cord and right ischial tuberosity and left ischial tuberosity and right femoral head and trochanter and left femoral head and trochanter and pubic symphysis and prostate and rectum and right femoral vein and right femoral artery and left femoral vein and left femoral artery and coccyx and gluteal fold and obturator internus muscle and obturator externus muscle and quadratus femoris muscle and pectineus muscle and iliopsoas muscle and rectus femoris muscle and sartorius muscle and tensor fasciae latae muscle and gluteus medius muscle and gluteus maximus in the pelvis.

Next CT Image

Radiology Menu