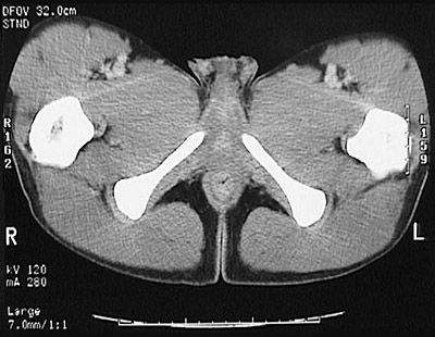
[Upper Femur] This is a normal pelvic CT scan in a male demonstrating the right pubic ramus and left pubic ramus and right femur and left femur and anal canal and gluteal fold and gluteus maximus in the lower pelvis.

Radiology Menu