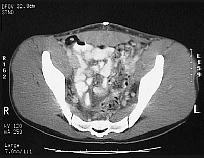
[S3] This is a normal pelvic CT scan with contrast demonstrating the colon and right ilium and left ilium and loops of small intestine and iliacus muscle and gluteus medius muscle and gluteus maximus muscle and gluteus minimus muscle and right sacroiliac joint and sacrum and left sacroiliac joint and rectum in the pelvis.

Next CT Image

Radiology Menu