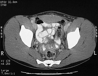
[S5] This is a normal pelvic CT scan with contrast demonstrating the right ilium and left ilium and sacrum and loops of small intestine and rectum and sigmoid colon and right external iliac vein and right external iliac artery and left external iliac vein and left external iliac artery and iliopsoas muscle and rectus abdominis muscle and gluteus medius muscle and gluteus maximus muscle and gluteus minimus muscle in the pelvis.

Next CT Image

Radiology Menu