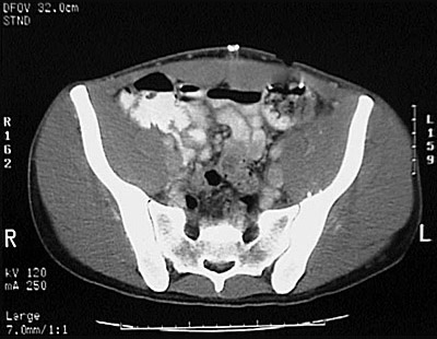
[S2] This is a normal pelvic CT scan with contrast demonstrating the colon and small intestine and right ilium and left ilium and sacrum and right sacroiliac joint and left sacroiliac joint and iliacus muscle and psoas muscle and rectus abdominis muscle and multifidus muscle and gluteus medius muscle and gluteus maximus muscle and gluteus minimus muscle and left internal iliac artery and vein and left external iliac artery and vein in the pelvis.

Next CT Image

Radiology Menu