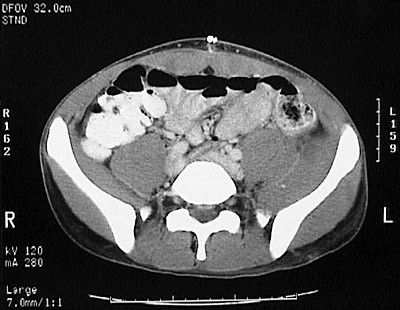
[L5] This is a normal pelvic CT scan with contrast demonstrating the colon and rectus abdominis muscle and psoas muscle and iliacus muscle and external and internal oblique muscles and multifidus muscle and gluteus medius muscle and right common iliac artery and right common iliac vein and left common iliac artery and left common iliac vein and right iliac wing and left iliac wing in the pelvis.

Next CT Image

Radiology Menu