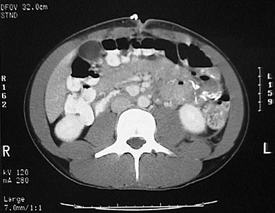
[L3] This is a normal abdominal CT scan with contrast demonstrating the liver and gallbladder and transverse colon and small intestine and lower pole of right kidney and lower pole of left kidney and aorta and inferior vena cava and psoas muscle and in the abdomen.

Next CT Image

Radiology Menu