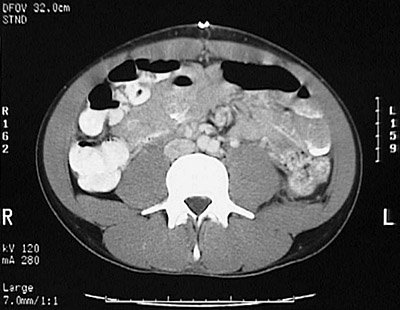
[L4] This is a normal abdominal CT scan with contrast demonstrating the colon and small intestine and aorta at bifurcation and left ureter and inferior vena cava and psoas muscle and in the lower abdomen.

Next CT Image

Radiology Menu