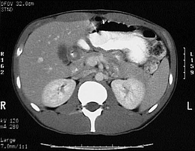
[L2] This is a normal abdominal CT scan with contrast demonstrating the liver and gallbladder and spleen and stomach filled with contrast and colon and pancreas and right kidney and left kidney and aorta and vertebral body and rectus abdominis muscle in the upper abdomen.

Next CT Image

Radiology Menu