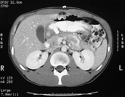
[L2] This is a normal abdominal CT scan with contrast demonstrating the liver and spleen and gallbladder and gastric antrum and pancreas and colon and right kidney and left kidney and aorta and psoas muscle in the abdomen.

Next CT Image

Radiology Menu