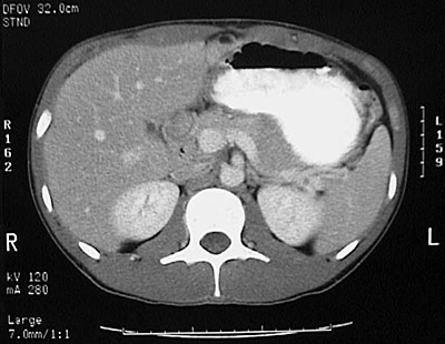
[L1] This is a normal abdominal CT scan with contrast demonstrating the liver and spleen and stomach filled with contrast and pancreas and upper pole of right kidney and upper pole of left kidney and aorta and right adrenal and left adrenal and inferior vena cava and splenic vein and crus of diaphragm and vertebral body and vertebral transverse process and vertebral spinous process and spinal canal in the upper abdomen.

Next CT Image

Radiology Menu