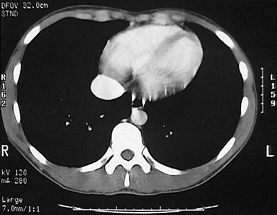
[T9] This is a normal abdominal CT scan with contrast demonstrating the left ventricle and right ventricle and right lung and left lung and vertebral body and vertebral transverse process and vertebral spinous process and spinal canal and rib and aorta in the lower chest.

Next CT Image

Radiology Menu