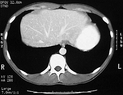
[T11] This is a normal abdominal CT scan with contrast demonstrating the liver and hepatic veins and right lung and left lung and stomach filled with contrast and esophagus and aorta in the upper abdomen.

Next CT Image

Radiology Menu