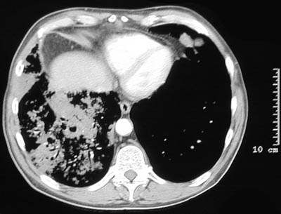
The chest CT scans in lung window above and bone window below demonstrate a very extensive bronchioloalveolar carcinoma involving most of the right lung. The tumor appears as large areas of consolidation resembling a pneumonia.