
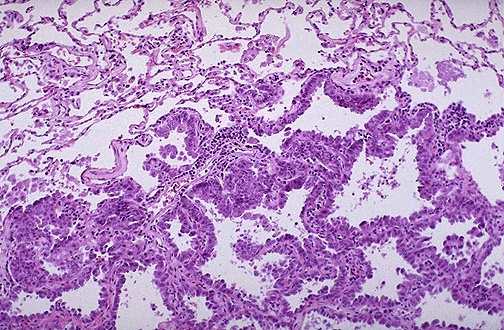
![]() | Microscopically, the bronchioloalveolar carcinoma is composed of columnar cells that proliferate along the framework of alveolar septae. The neoplastic cells are well-differentiated. These neoplasms, a form of adenocarcinoma, in general have a better prognosis than most other primary lung cancers, but they may not be detected at a low stage. |
![]() |