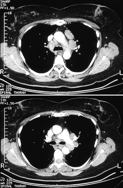
The CT panels seen here with "bone" window setting illustrate prominent lymphadenopathy in a middle aged woman with sarcoidosis. Lymph node involvement is seen in 100% of cases of sarcoidosis, and the hilar nodes are most often involved.