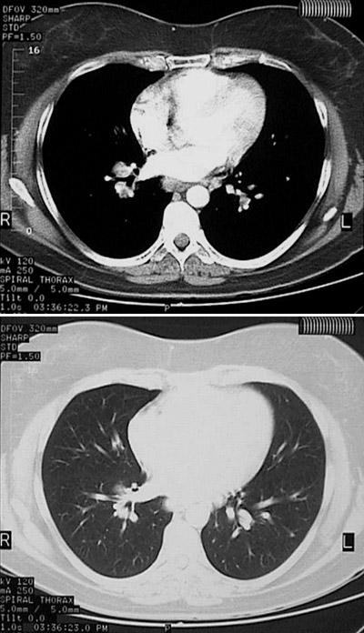
The CT panel at the top with "soft tissue" window and the lower panel with "lung" window setting illustrate scattered bright pulmonary nodules of sarcoidosis along with
prominent hilar adenopathy
.