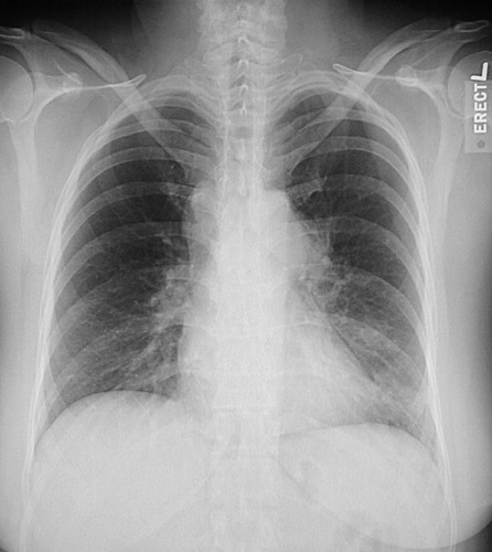
In this example of sarcoidosis, there is prominent hilar and also mediastinal lymphadenopathy. Sarcoidosis is a granulomatous disease of unknown etiology that can lead to interstitial lung disease.