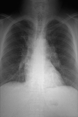
One cause for pulmonary intersitital fibrosis is sarcoidosis. In addition to increased interstitial markings, the chest radiograph may display prominent hilar lymphadenopathy (from non-caseating granulomatous inflammation) as shown here.