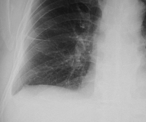
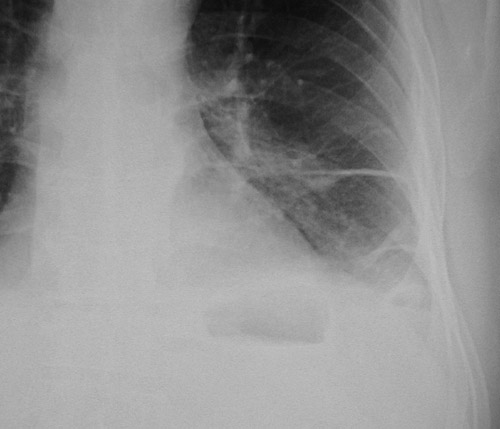
The magnified view of the chest radiograph in PA view on the right above demonstrates fluid in the major fissure in a patient with left heart failure. The magnified view of the fluid in the major fissure on the left is seen below.