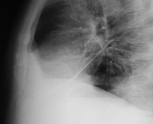
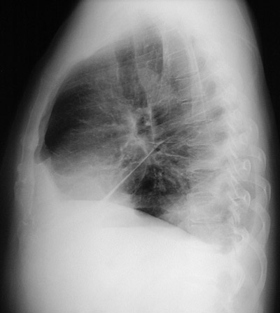
| The magnified view of the chest radiograph in lateral view above demonstrates fluid in the major fissure in a patient with left heart failure. The increased fluid in lymphatics around bronchi creates a circular outline to the bronchi as seen in cross section. The entire lateral view is seen below. |
![]() |