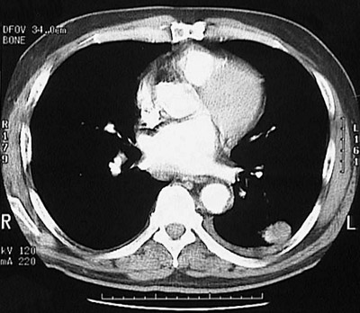
This chest CT scan at "soft tissue window" density reveals a peripheral mass that on CT guided biopsy was found to be an adenocarcinoma.