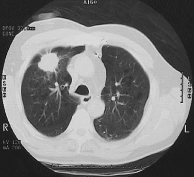
This chest CT scan at "lung window" density reveals a bright mass that on fine needle aspiration biopsy was found to be an adenocarcinoma.