
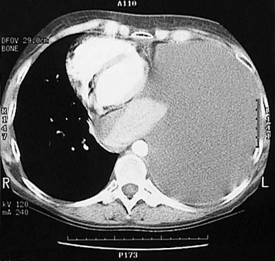
| This large pleural effusion seen with chest CT scan at lung density resulted from extensive pleural metastases from a breast carcinoma. The effusion fills the left chest cavity and displaces the heart to the right. On thoracentesis, the fluid was bloody, typical of the effusions associated with malignancies. |
![]() |