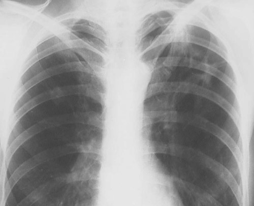
This chest radiograph reveals upper lobe granulomatous disease marked by irregular reticular and nodular densities and upper lobe cavitation due to the central caseous necrosis typical for tuberculosis.