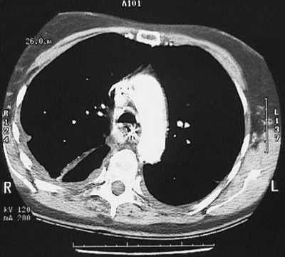
This chest CT scan taken with "soft tissue" window reveals an
empyema
.