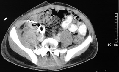
| The pelvic CT scan views above demonstrate a gunshot wound to the spine with bright bullet fragments and bone. A neurosurgical procedure was necessary to remove fragments from the spinal canal. In the view below, the density of the metal bullet scatters the x-rays ("beam hardening" artefact). |
![]() |