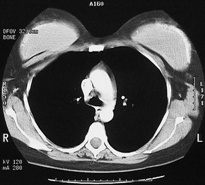
This chest CT scan reveal breast implants on the
right
and on the
left
. These implants have resulted in the formation of a fibrous capsule that has
partially calcified
.