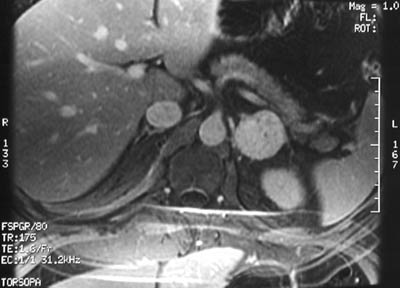
| The abdominal MRI scan seen here is a post Gadolinium T1 weighted image with fat saturation that demonstrates diffuse contrast enhancement in a pheochromocytoma of the left adrenal. This patient had a plasma norepinephrine level measured at 1200 pg/mL/H, which is very high. |
![]() |