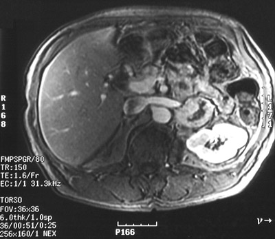
This abdominal T1 enhanced MRI scan shows a left adrenal pheochromocytoma with central necrosis.