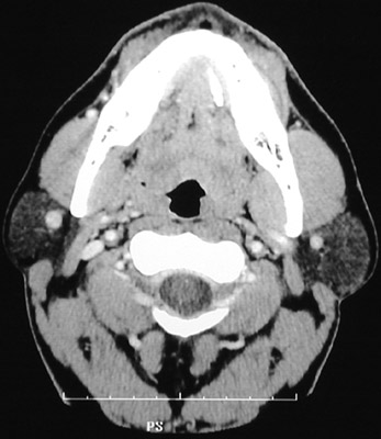
There is a bright calculus seen in the left distal submandibular salivary gland duct extending upward to the floor of the mouth from the gland located below the mandible in this head CT scan. (The parotid gland on each side is normal.)