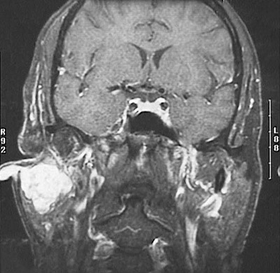
This coronal MRI scan of the head demonstrates a
pleomorphic adenoma
, or mixed tumor, arising in the right parotid gland.