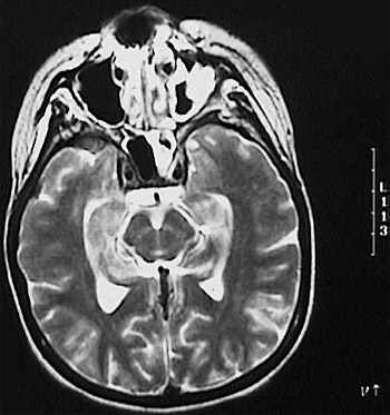
This MRI scan of the head reveals an irregular enhancing area of mucormycosis on the left.