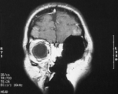
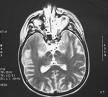
These MRI scans of the head reveal an irregular enhancing area of
mucormycosis
on the left. There is overlying
soft tissue swelling
. One of the views below indicate the result of treatment of this condition--radical surgical excision.