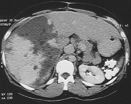
This computed tomographic (CT) scan of the abdomen reveals a very large mass lesion of the liver that varies in density. This is a giant cavernous hemangioma, a rare condition that can be symptomatic and require resection.