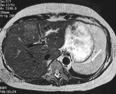
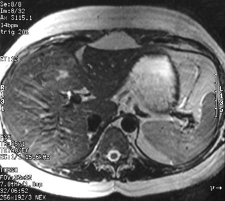
| The abdominal MRI scans in axial view above (T1 weighted) and below (T2 weighted) reveal an area of abnormal signal in the medial aspect of the right lobe of liver with a central bright scar. This is focal nodular hyperplasia (FNH), a slow-growing, hamartomatous process that is uncommon. It occurs more often in women than in men. |
![]() |