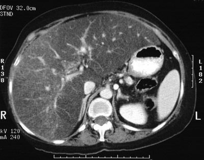
![]() | This abdominal CT scan with contrast reveals a small, shrunken pancreas of decreased density that contains some small calcifications, consistent with chronic pancreatitis. Note the markedly decreased attenuation of the liver, contrasting with the brighter spleen and intrahepatic veins filled with contrast, consistent with severe hepatic steatosis (fatty change). The history of chronic alcoholism for this patient explains both conditions. The right adrenal gland is clearly visible. |
![]() |