
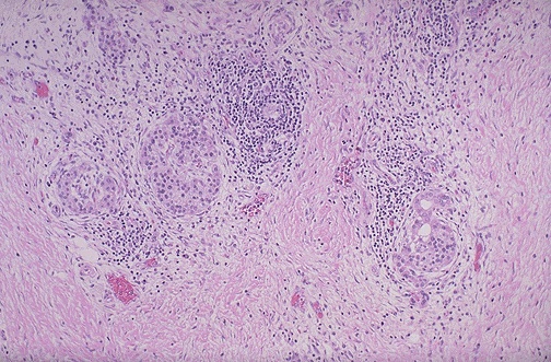
![]() | Microscopically, this low power photomicrograph demonstrates scattered chronic inflammatory cells in a collagenous stroma, with a few remaining islets of Langerhans, in a case of chronic pancreatitis. Chronic alcoholism is a common cause for this condition, but long-standing obstruction of the pancreatic duct from gallstones or masses may produce inflammation. Some cases may be related to germ line mutations in the PRSS1 and SPINK1 genes. |
![]() |