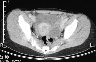
| In this pelvic CT scan can be seen cystic enlargement of the left ovary. This is an endometrioma, or focus of endometriosis involving the ovary in which repeated hemorrhage has led to formation of a cystic structure. The uterus and the urinary bladder are seen clearly. |
![]() |