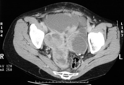
| The bilateral pelvic masses on the right and on the left have both cystic and solid components. They arise in the region of the ovaries. These proved to be serous cystadenocarcinomas of the ovaries. In the view above, there is adjacent small bowel filled with bright contrast. The view below, these bilateral neoplasms nearly fill the lower pelvis. |
![]() |