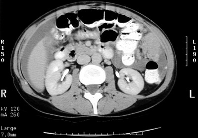
| This abdominal CT scan demonstrates a mass lesion on the abdominal wall from seeding of metastases from an ovarian serous cystadenocarcinoma. Often, the first sign is abdominal enlargement with ascites. Note the ascitic fluid seen here around the liver and elsewhere. |
![]() |