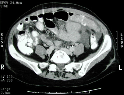
| This abdominal CT scan demonstrates a metastasis in a thickened mesentery as well as metastases with calcifications in a case of seeding of serous cystadenocarcinoma from the ovary. Much smaller calcifications appear microscopically as psammoma bodies. Ascitic fluid is seen here, too. |
![]() |