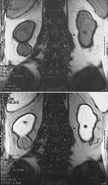
![]() | These abdominal MRI scan coronal views reveal an angiomyolipoma eccentrically positioned to the lower pole of the right kidney. These well-circumscribed tumors are histologically benign but may be multiple. They may occur in association with the rare inherited condition known as tuberous sclerosis. An incidental small simple renal cyst is also present in each of these kidneys. |
![]() |