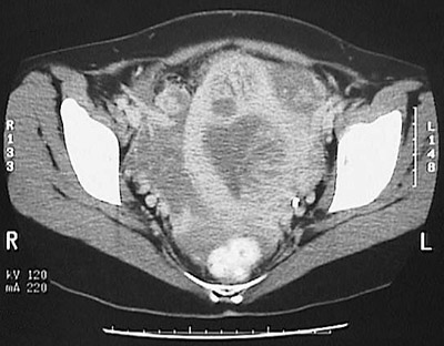
This abdominal CT scan view of the pelvis demonstrates a solid and cystic mass in the region of the uterus extending into the pelvis which is consistent with a choriocarcinoma.