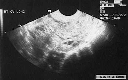
The cystic spaces representing the grape-like villi of an invasive mole are seen in this ultrasound view of the pelvis.