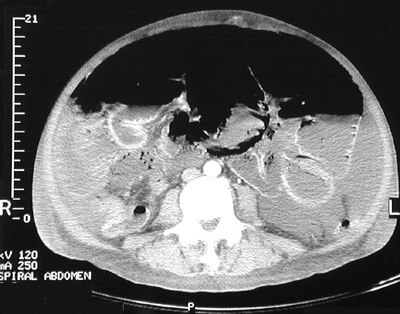
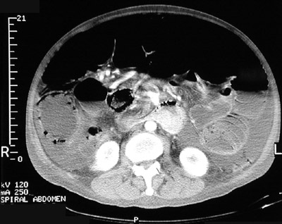
| The abdominal CT scan views above and below demonstrate the uncommon condition known as pneumatosis intestinalis in which small collections of air (seen here as black spaces) appear in the bowel wall. These scan also reveal a large amount of ascitic fluid as well as free air in the abdomen. |
![]() |