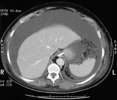
The extensive areas of fluid density in this abdominal CT scan are collections of ascitic fluid in a patient with severe acute necrotizing pancreatitis.