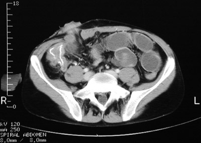
Postoperatively, there are dilated loops of small bowel in this abdominal CT scan. Contrast was administered, but it has not made its way to the small intestine. An ileostomy stoma is present as well.