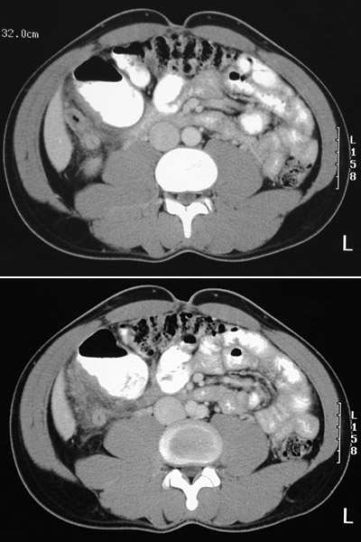
![]() | This abdominal CT scan reveals acute appendicitis with a thickened appendix. This patient had the classic onset of lower abdominal pain that localized over a day to the right lower quadrant, with rebound tenderness on physical examination. A CBC showed a leukocytosis with left shift. There is stranding from inflammation extending to surrounding adipose tissue. |
![]() |